OPG s přesnější diagnostikou

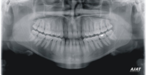
I naše ordinace nabízí vysoce kvalitní panoramatický rentgen, osvědčený model Ajat ART Plus. Tento přístroj díky své multifokální technologii a vysoce kvalitnímu CdTe senzoru umožňuje zhotovit OPG snímky s unikátním rozlišením. Patří mezi rentgeny na trhu, které kombinují CdTe-CMOS technologii (revoluční patentovaná technologie s přímou konverzí rtg záření na elektrický signál, výsledkem je: 3x vyšší citlivost senzoru, 3x lepší kvalita zobrazení, vysoký dynamický rozsah snímku) s technologií multifokální. Panoramatický snímek je tedy s 3x krát lepší kvalitou než u mnohých jiných panoramatických rentgenů navíc s možností posunu fokální vrstvy po projekci s přesným zaostřením na všechny úseky maxilárního a mandibulární oblouku. Výsledkem je vyjímečně ostrý snímek ve všech úsecích.

zdroj: ajat.fi

Leave a reply